Dr.s.singh sagar physical medicine clinic - Health Consultant in Indira Nagar, Banda

Best physiotherapy centre, near by clinic, rehabilitation centre, general nursing facility, health and wellness, fitness management, well being, best chiropractor, joint adjustment, treatment for knee arthritis, sciatica, frozen shoulder, slip disc, sport injury, muscle and joint ache, cervical, headache, migraine, paralysis, Bell's palsy, cereb...

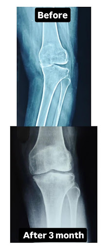
Gallery

Why customers love Dr.s.singh sagar physical medicine clinic

1+ Users rated us 5 out of 5.

  • avatar
  • avatar
  • avatar
  • avatar
  • avatar
  • avatar

Loading reviews...

🌟 Trusted by our customers

Proven Success in Numbers

1 Customer Reviews

Get in Touch

Contact us today for more information about our services

Contact Us

Made with

Get your free website now →